主页 » 新闻中心 » 历史动态 »

历史动态

拿捏是否新冠病毒肺炎轻重症的就是它!

发布时间:2022-12-25

“这几天新冠肺炎与日俱增,都是典型影像征象。不要做DR,必须CT检查,薄层对新冠肺炎的诊断很准确,让病灶范围显示清晰。在此提醒,如出现了呼吸困难或者是气短,高烧3天不退,建议及时医院就诊,不要耽搁了治疗时间窗。”自从疫情管控放开以来,全国各地在短时间内,就有大量的人们出现头痛感冒等症状,发热门诊爆满。

据了解全面放开后,陕西冶金医院医学影像科每天大量的CT检查、影像需要医生阅片、撰写报告,医学影像科医生和技师常常没有时间吃饭和休息。

“强烈推荐CT影像作为目前新冠肺炎(诊断)的主要依据。不要做DR,必须CT检查。”

——陕西冶金医院医学影像科主任 付建英

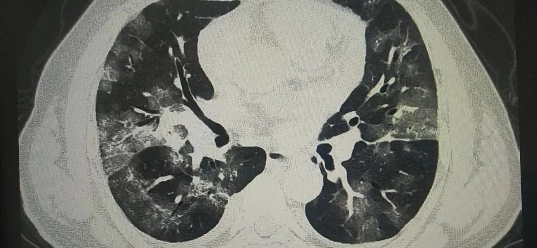
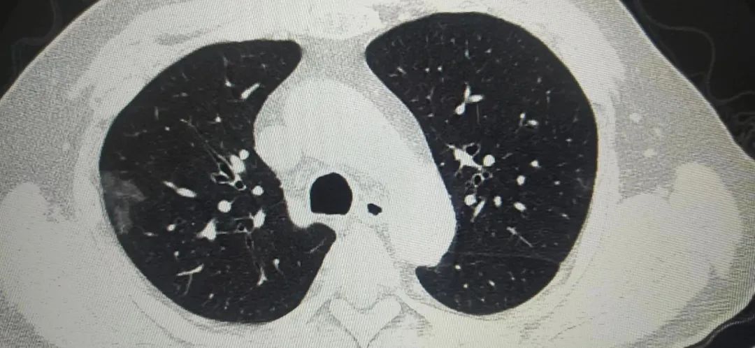
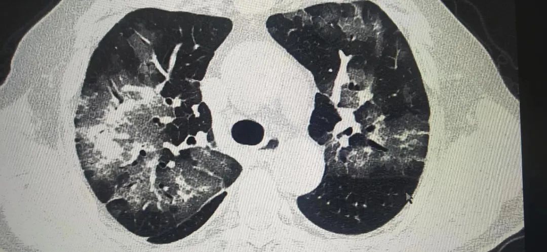
(病例)

胸片只能做一个初步的粗略判断,付建英介绍,胸部CT则以1毫米为一层的断面,精准展现患者的肺部影像,就连软组织、骨骼场都能看得一清二楚,细微病灶也不会漏诊。在高分辨率的大尺寸屏幕上分析患者CT,即使是较小的磨玻璃样结节,都逃不过胸部CT的慧眼。

“新冠肺炎不是‘大号流感’,即便‘症状较轻’也别轻视。”

陕西冶金医院医学影像科医生提醒!

据陕西冶金医院医学影像科付建英主任讲,目前新闻各种报道奥密克戎感染后大部分为无症状或轻症,我自己接诊的患者中一部分有出现肺部表现的患者。比如上面的病例,CT检查都是出现了肺部表现,一个人是病变局限,病变于胸膜下分布。表现为单发或多发磨玻璃样密度结节状、斑片状影。其内可见空气支气管征和血管增粗表现。另外一个则是弥漫性磨玻璃样渗出,病变进展,病灶增多、范围扩大。可累及多个肺叶,下叶居多。病灶变密实。严格意义上讲,这几个病例都倾向于类似于新冠感染后的肺部表现。随着感染人数增多,可能还会有类似的病例出现。好在这样的病例确实不多,大部分还是上呼吸道感染的症状居多,发热咽痛是最常见的症状表现,但如果出现呼吸困难,还是要到医院拍个CT的。

新冠肺炎并不是什么“大号流感”,即便“症状较轻”也千万不能轻视。不要以为新冠只是单纯感冒,上呼吸道感染如果不及时用药,会进展肺部,也会出现阴影。所以当下全面开放后,还是要做好自己是第一健康负责人,带好口罩,注意防护,不要躺平,既不要轻视但也不要过度恐慌,正确对待它。

从当前全国病例数据看,感染奥密克戎后无症状和轻型约占90%以上,大家做好判断与自我监测,放平心态,好好休息多喝水,必要时对症施治,保证充分的休息和营养摄入,绝大多数人都是可以恢复正常的。

目前,陕西冶金医院医学影像科医务人员在前线,他们已连续奋战了十余个日夜。近来,下了夜班后付建英和同事们也不回家了,他们希望以100%的安全防护全身心投入工作。