脑出血多发生于
具有长期高血压病史的患者
常见于患有高血压和动脉硬化的中老年人
是病死率最高的疾病之一
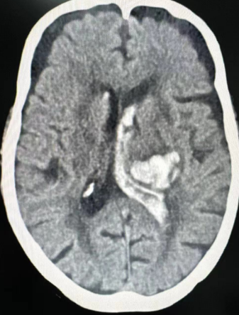
83岁的白奶奶突发意识不清状况,情况危急,随即由120紧急送至陕西冶金医院急诊医学科。头颅CT扫描显示:左侧丘脑、基底节区及侧脑室旁出现急性脑出血,且已破入脑室系统,情况危急。
脑出血作为脑部疾病中较为常见的危急重症,具有发病凶险、病情变化迅速以及致残致死率高的特点。鉴于此,急诊医学科医生迅速联系神经外科主任许春旺进行会诊。在与家属充分沟通病情后,当即为老人开通绿色通道。
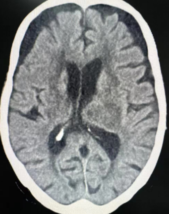
在完善相关术前检查并获得家属同意后,老人从急诊医学科被送入手术室,神经外科团队立即对患者实施“脑室穿刺引流术”。经过一小时的紧张手术,手术顺利完成,患者转危为安。为老人的康复之路迈出了关键的第一步。
术后,患者被送入重症医学科,在重症医学科医护人员的精心治疗和护理下,目前白奶奶虽遗留右侧肢体活动障碍,但已逐渐开始加强康复功能训练,其上肢肌力为1级,下肢肌力达到2级。
白奶奶儿子拉着许主任的手激动地说:“当时,我们全家人都慌了神。幸运的是手术非常顺利。感谢神经外科许主任和全体医护人员,全力抢救,悉心服务,让我妈成功脱险!我们特意送来了锦旗,就是想表达我们内心最真挚的感谢,希望更多的人能知道这家医院的好。”目前,白奶奶已顺利出院。
微创颅内血肿穿刺引流术
脑出血微创手术包括范围很广,神经内镜、立体定向微创钻孔、软硬通道微创钻孔引流等,其中前两者主要是借助设备进行血肿清除及定位,软硬通道微创颅内血肿穿刺引流则是通过CT阅片配合颅骨表面骨性标志进行定位,然后穿刺置管,通过抽吸及后续间断注入尿激酶引流,达到引流血肿的目的,它定位简单,对设备依赖小,操作简便,成为治疗脑出血的主要手段,并且显示出了其独特优势。

信息来源丨神经外科 重症医学科(ICU)
编辑排版丨宣传部 李倩倩







