近日,陕西冶金医院神经外科成功救治一位73岁突发脑出血老人。老人头颅CT检查提示:右侧颞顶叶脑出血、出血量40ml。神经外科许春旺主任会诊并与家属沟通病情后,立即为老人开通绿色通道,由神经外科许春旺团队为患者行“开颅右侧颞叶脑内血肿清除+颅内传感器植入术”。经过紧急有效救治与精心护理,老人身体逐渐恢复,其子女特送锦旗表达谢意。

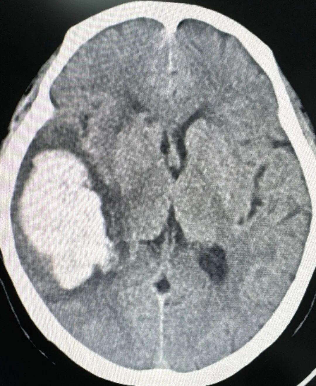
头颅CT检查提示:右侧颞顶叶脑出血
73岁老人突发脑出血
接受手术的是一名73岁脑出血患者。该患者突发头痛持续长达5小时,被家人急送至陕西冶金医院。经头颅CT检查结果提示:右侧颞顶叶脑出血、出血量40ml。
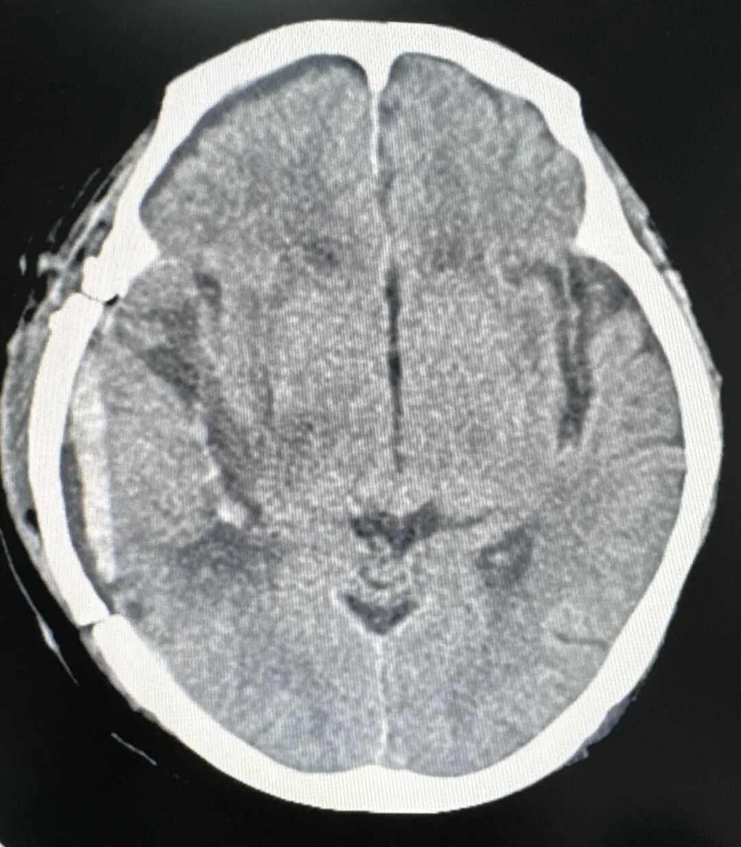
情况危急之下,神经外科许春旺主任会诊并与家属详细、充分地沟通病情后,迅速为老人开通绿色通道,在医护陪同下将患者迅速推入手术室,由神经外科许春旺团队行开颅右侧颞叶脑内血肿清除+颅内传感器植入术,历经2个小时手术顺利完成。

开颅右侧颞叶脑内血肿清除+颅内传感器植入
然而,术后老人面临着诸多挑战。由于高龄,身体机能本就脆弱,再加上坠积性肺炎、脑水肿等病情变化,老人的恢复之路困难重重。针对老人每一个病症重症医学科、神经外科制定了治疗方案。给予营养脑神经、改善微循环,脱水降低颅内压,纤维支气管镜吸痰护理等全方位的精心治疗与照顾。术后5天,老人病情逐渐平稳,经评估给予拔出气管插管、撤出呼吸机。术后9天,老人转入普通病房,开始接受系统的康复功能训练。术后15天,老人在家属的协助下已能下床活动。术后一个月,老人可以自行下床活动。
老人子女目睹了整个救治过程中陕西冶金医院医护团队的专业、敬业与团结协作,深受感动。近日,他们特意送来锦旗,向全体医护人员表达诚挚谢意。

陕西冶金医院
一站式综合急救平台
陕西冶金医院一站式综合急救平台以创伤急救、休克、卒中、胸痛救治为基础,集相关临床、医技科室为一体,将院前救治、院内急诊和严重创伤救治无缝衔接,打通绿色生命通道。设置抢救大厅、急诊诊室、手术室、重症ICU、急诊留观病区等区域,医学影像科、医学检验科、超声医学科、输液室、治疗室、处置室、预约登记等各种辅助检查设备一应俱全。配备呼吸机,心电监护仪、胸外心肺复苏机、除颤+体外起博仪、连续性血液净化治疗仪、可视支气管镜、亚低温治疗仪1台(一托二)、自动排痰仪、微量泵、输液泵等,急危重症患者可在同一楼内完成检查、诊断、抢救、监护、治疗、手术的“急诊一站式”服务。
自一站式综合急救平台成立以来,医院在急诊绿色通道基础上充分运用多学科协作诊疗模式,成功救治严重创伤、特重型颅脑损伤、高血压脑出血、急性脑梗死、各型休克、重症肺炎、心衰、肾衰等急危重症患者,让急危重症患者从超早期诊疗中获益,最大限度挽救患者生命。同时,进一步提升突发事件应急防范和应对突发事件综合能力。




许春旺
副主任医师,陕西冶金医院重症医学科(ICU) 神经外科主任。中华医学会胶质瘤学术分会委员。2002年毕业于第三军医大学,神经外科副主任医师,曾就职于解放军第十五中心医院神经外科14年,空军军医大学唐都医院神经外科6年。具有丰富的神经外科及重症医学科临床救治经验。擅长:熟练掌握中枢神经系统及急危重症病人紧急救治措施,能独立完成脑外伤、脑卒中(缺血性及出血性脑卒中)的急危重症抢救、手术,独立完成心衰、呼衰、肝肾功能异常、各型休克的急诊急救。指导并协助团队开展持续性血液净化(CRRT)体外膜肺(ECMO)纤维支气管镜肺泡灌洗、重症超声等急危重症病人的诊疗操作技术,并获得良好的社会效益,得到驻地群众的普遍认可。
信息来源丨重症医学科(ICU)神经外科
编辑排版丨宣传部 李倩倩


